Mammogram Screening in Singapore

MOH-Registered
Near MRT Stations
Same-Day Booking
Female Radiographer
MOH-Registered
Near MRT Stations
Same-Day Booking
Female Radiographer
Mammogram screening machine at Singapore Women's Clinic

Early Detection, Greater Peace of Mind

2D and 3D mammograms for screening and diagnostic purposes2D and 3D mammograms for screening and diagnostic purposes
From $239.80 with transparent NETT pricing and no hidden feesFrom $239.80 with transparent NETT pricing and no hidden fees
MediSave claimable for women aged 50 and above under the MediSave500/700 schemeMediSave claimable for women aged 50 and above under the MediSave500/700 scheme
Results within 72 hours with express 24-hour report at $32.70Results within 72 hours with express 24-hour report at $32.70
Book Your Mammogram Appointment

Conveniently located in Orchard, Tanjong Pagar & Novena

Book Your Mammogram Appointment

Conveniently located in Orchard, Tanjong Pagar & Novena

Medically Reviewed By: Dr Jana Lim | MBChB, MMed (FM) | Board-Accredited Family Physician

MBChB, MMed (FM) | Board-Accredited Family Physician

Last updated: Apr 07, 2026
Bar chart of the top 10 cancers affecting women in Singapore from 2019 to 2023, with breast cancer at 29.9%

What Is a Mammogram?

A mammogram is a low-dose X-ray of the breast used to detect early signs of breast cancer and other breast conditions. It is one of the most widely used screening tools for breast cancer, capable of identifying changes in breast tissue before they can be felt during a physical examination.

In Singapore, breast cancer is the most common cancer among women from 2019 to 2023, accounting for 29.9% of all female cancer cases. Mammogram screening is recommended as part of the Healthier SG screening programme, alongside screening for HPV, cervical cancer, colorectal cancer, and chronic diseases.

Besides screening mammograms done as routine checks, a diagnostic mammogram may also be performed, which is a more detailed examination done when a specific concern has been identified, such as a breast lump, nipple discharge, or an abnormal screening result.

How Does a Mammogram Work?

A mammogram works by passing a small amount of ionising radiation through the breast to produce an image of the internal tissue. The breast is positioned on a flat surface and gently compressed by a paddle to spread the tissue evenly, which helps produce clearer images while using the lowest possible radiation dose.

The resulting image can reveal abnormal areas such as calcifications, masses, or areas of distortion that may stand out against the surrounding tissue. This is because different types of tissue absorb radiation at different rates: dense tissue such as glands and connective tissue appears white on the image, while fatty tissue appears darker.

Types of Mammograms

Mammograms are commonly performed using 2D or 3D digital mammography:

How Often Should I Get a Mammogram?

The recommended mammogram screening schedule depends on your age and individual risk factors. In Singapore, the Health Promotion Board (HPB) guidelines are as follows:

Age Group Recommended Screening Schedule
Below 40 years Not routinely recommended (unless high-risk)
40 to 49 years Once every year
50 years and above Once every 2 years

You may benefit from earlier or more frequent screening if you have:

Not sure when to start screening?
Our doctors can assess your individual risk and recommend an appropriate mammogram screening schedule for you.

What Happens During a Mammogram?

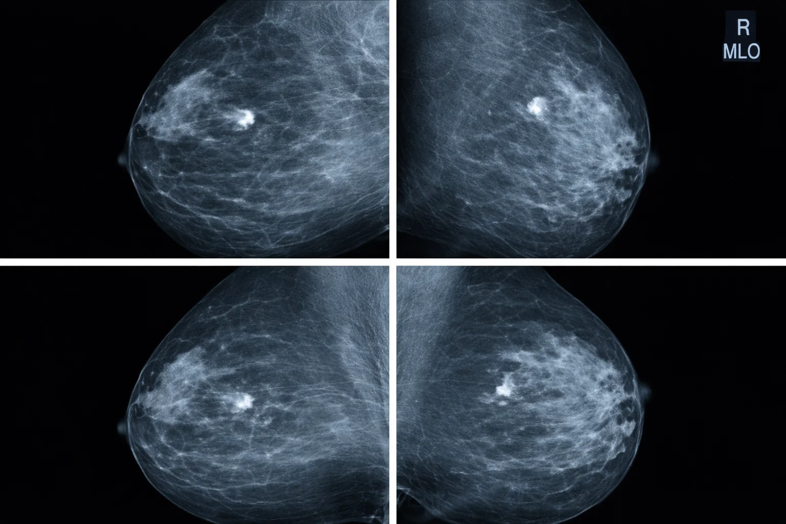
Four mammogram scan images showing different views of breast tissue

At Singapore Women's Clinic, a mammogram typically takes around 15 to 30 minutes and is performed by a female radiographer for your comfort.

Here is what you can generally expect:

  1. You will be asked to undress from the waist up and wear a gown. You will need to remove any jewellery, deodorant, or powder from the chest area, as these can interfere with the images.
  2. The radiographer will position your breast on the machine's flat surface. A compression paddle then presses down gently to spread the tissue evenly. Two images are taken, one from above (craniocaudal) and one from the side (mediolateral oblique).
  3. The process is repeated for the other breast.

The report will typically be ready within 72 hours and emailed to you.

Do Mammograms Hurt?

The compression may cause brief discomfort or pressure, but it should not be painful. The compression lasts only a few seconds per image and is necessary to produce clear, accurate results. If you find it uncomfortable, let the radiographer know so they can adjust.

Scheduling your mammogram during the first two weeks of your menstrual cycle (when breasts tend to be less tender) may help reduce any discomfort.

How Do I Prepare for a Mammogram?

Mammograms require minimal preparation. Here are some guidelines to help you get the most accurate results:

Mammogram vs Breast Ultrasound

Mammograms and breast ultrasounds are complementary imaging methods. Mammograms are primarily used to screen for early signs of breast cancer, while ultrasounds are often used to further evaluate abnormalities or examine dense breast tissue.

Here is how they compare:

Feature Mammogram Breast Ultrasound
How it works Low-dose X-ray High-frequency sound waves
Radiation Uses a small amount of ionising radiation No ionising radiation
Primary use Screening for early breast cancer Investigating a lump or abnormal test results (e.g., after a mammogram)
What it can detect Microcalcifications; less clear in dense tissue Dense tissue seen more clearly; cannot detect calcifications
Duration 15–30 minutes 30–45 minutes

How Accurate Are Mammograms: Understanding Your Results

Mammogram results are usually categorised using the BI-RADS (Breast Imaging Reporting and Data System) scale, which ranges from normal findings to results that require further investigation:

An abnormal result does not necessarily mean cancer. Depending on the findings, your doctor may recommend follow-up tests such as an ultrasound, MRI, or biopsy for a more complete assessment.

Cost of Mammogram Screening in Singapore

At Singapore Women's Clinic, we offer mammogram screening at our Orchard and Tanjong Pagar clinics. Our prices are as follows:

Mammogram Screening Price*
Mammogram $239.80
Ultrasound Breast $163.50
Mammogram + Ultrasound Breast $327.00
Express Report (within 24 hours) $32.70
Women's Health-Related Screening
HPV Test From $0 depending on CHAS / MG / PG subsidies
Pap Smear From $0 depending on CHAS / MG / PG subsidies
Vaccination
HPV Vaccination From $23 depending on CHAS subsidies

*Prices are NETT and inclusive of GST.

Payment Options We Accept

Credit Card (Visa, Mastercard, AMEX, UnionPay)
NETS / PayNow / GrabPay
Cash
MediSave

Can I Use MediSave for My Mammogram?

Women aged 50 and above can use MediSave to pay for mammogram screening under the MediSave500/700 scheme. The annual withdrawal limit is up to $500 per year, or $700 per year for patients with complex chronic conditions.

You can use your own MediSave or that of approved dependants, including your spouse, children, parents, and siblings.

Where to Go for a Mammogram?

Orchard Clinic

Singapore Women's Clinic at Camden Medical Centre in Orchard

Address

1 Orchard Boulevard, #05-09, Camden Medical Centre, S248649

Parking

Camden Medical Centre Carpark

MRT Access

Orchard Boulevard (TE13): 2-minute walk

Orchard (NS22): 8-minute walk

Opening Hours

Mon - Fri: 8:30 AM – 5:30 PM

Sat: 8:30 AM – 12:30 PM

Sun & PH: Closed

Tanjong Pagar Clinic

Singapore Women's Clinic at Anson House in Tanjong Pagar

Address

72 Anson Rd, #01-02, Anson House, S079911

Parking

Anson House Carpark

MRT Access

Tanjong Pagar (EW15): 4-minute walk

Opening Hours

Mon - Fri: 8:30 AM – 12:30 PM, 1:30 PM – 5:30 PM

Sat: 8:30 AM – 12:30 PM

Sun & PH: Closed

Jurong East Clinic

Singapore Women's Clinic at CPF Jurong Service Centre

Address

21 Jurong Gateway Rd, #02-08, CPF Jurong Service Centre, S608546

  • Enter via the Office Lobby, beside POSB bank
  • Go straight in, take lift to level 2

Parking

Blk 132 Jurong Gateway Rd (Multi-storey Car Park)

MRT Access

Jurong East (EW24 / NS1): Exit D (5-min walk)

Opening Hours

Mon - Fri: 8:30 AM – 12:30 PM, 1:30 PM – 5:30 PM

Sat: 8:30 AM – 12:30 PM

Sun & PH: Closed

Novena Clinic

Address

101 Irrawaddy Road, #09-01, Royal Square Medical Centre, S329565

MRT Access

Novena MRT (NS20): 2-minute walk

Parking

Royal Square Medical Centre Carpark

Opening Hours

Monday - Friday: 8:30 AM – 5:30 PM

Saturday, Sunday & Public Holidays: Closed

Address

101 Irrawaddy Road, #09-01, Royal Square Medical Centre, S329565

Parking

Royal Square Medical Centre Carpark

MRT Access

Novena (NS20): 2-minute walk

Opening Hours

Mon - Fri: 8:30 AM – 5:30 PM

Sat, Sun & PH: Closed

Why Choose Our Mammogram Services?

Convenient, accessible, and caring. Here's what sets us apart.

MOH & MediSave Accredited

Our friendly team will assist with your MediSave claims where applicable for eligible mammogram screenings.

Quick Turnaround

Reports ready within 72 hours, emailed directly to you. Express 24-hour reports available at $32.70 NETT.

Same-Day Appointment & Friendly Team

Book your mammogram on the same day. Our friendly team is here to help you every step of the way.

How Do I Book a Mammogram Appointment?